

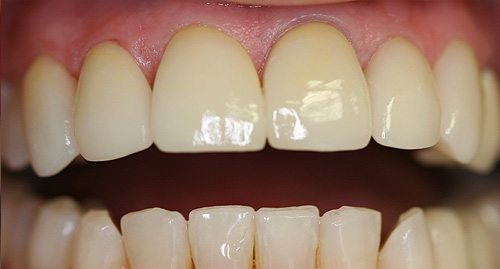
Patient L.H. (first set of images shown above)
L.H. had wanted to create a new smile and fix all her teeth for a few years and was apprehensive about many issues. She came to our office very confused about what she really wanted and had been to many dental clinics only having consults and not returning. She was either not comfortable with the doctor, the prices quoted or the work she had seen and was looking for someone to ease her mind, her pocket and provide her with high quality work.
After a few meetings with L.H. we decided to start with her maxillary anterior teeth (top front six) and make her a set of veneers. The veneers we knew would change her overall appearance and provide a beautiful smile that she would be comfortable with. Before touching her teeth we had the lab make a model of what her teeth would look like at the end, and with her involvement in the design process we reached a look that she was comfortable with.
We prepared her teeth for the veneers and fitted her with temporary teeth that were based on the models discussed. She wore the temporaries for two weeks while the lab processed the veneers and with her feedback on the look of the temporaries and the final color selection we decided it was time place her veneers.
L.H. has been extremely pleased with the result of her veneers and loves how they were custom made to her specifications. She is now looking to restore the rest of her teeth and we will be working with her to make her dream smile come true.


Patient M.G. (first pair of images shown above)
Having always been told that she had "bad teeth" by her former dentists, M.G. thought that she would end up losing her teeth at an early age. She had very large silver fillings that were not protecting her teeth well and she always had cavities starting around those large fillings. She did not like the way her teeth looked and would not speak much due to the fact that every time she opened her mouth her dark fillings were obvious.
M.G. wanted to get the "silvers out and whites put in". After a comprehensive dental examination we decided that a combination of different restorative materials would be used to finish her case. The smaller fillings and cavities were restored with bonded white fillings, the larger fillings were removed and replaced with porcelain inlays and onlays, and finally the largest filling was restored with a full porcelain crown.
The final result is a mouth that appears as though there are no restorations and that the patient has never even had a cavity in her mouth. M.G. likes to show off her new teeth to her loved ones and with the use of an electric toothbrush and regular check-ups is maintaining her smile and she no longer has "bad teeth".


Patient J.L. (first set of images shown above)
J.L. presented to our office with very few teeth in the mandibular arch (lower teeth) and was interested in "fixing" her teeth. After a thorough examination it became apparent that some of her existing lower front teeth needed to be extracted. Finances were an issue for the patient and after discussing all the treatment options that were available to her, J.L. chose to restore her teeth with a combination fixed bridge and removable partial denture.
We decided to make her a fixed porcelain to metal (PFM) bridge and a removable partial denture. Since J.L. had no back teeth in this arch we agreed on making a partial denture to give her better functionality when chewing. She did not want any metal showing as she had seen in other people's dentures, and so we decided on an attachment denture which clips into the back of the bridge. This allows for a more esthetic denture and also creates better retention of the partial denture.
J.L. is very pleased with the outcome of her dental work and is much more confident in her smile and appearance. She had been without back teeth for almost 10 years and loves the fact that she can eat many of the things that she had been missing throughout the years.


Patient J.L.
J.L. presented to our office with very few teeth in the mandibular arch (lower teeth) and was interested in "fixing" her teeth. After a thorough examination it became apparent that some of her existing lower front teeth needed to be extracted. Finances were an issue for the patient and after discussing all the treatment options that were available to her, J.L. chose to restore her teeth with a combination fixed bridge and removable partial denture.
We decided to make her a fixed porcelain to metal (PFM) bridge and a removable partial denture. Since J.L. had no back teeth in this arch we agreed on making a partial denture to give her better functionality when chewing. She did not want any metal showing as she had seen in other people's dentures, and so we decided on an attachment denture which clips into the back of the bridge. This allows for a more esthetic denture and also creates better retention of the partial denture.
J.L. is very pleased with the outcome of her dental work and is much more confident in her smile and appearance. She had been without back teeth for almost 10 years and loves the fact that she can eat many of the things that she had been missing throughout the years.